高等学校化学学报 ›› 2025, Vol. 46 ›› Issue (12): 20250283.doi: 10.7503/cjcu20250283

• 化学生物学 • 上一篇    

肠道共生菌Akkermansia muciniphila编码的重组蛋白Amuc_0119的表达与纯化

任志豪, 左腾, 张伟云, 于大海, 房学迅()   

  1. 吉林大学生命科学学院, 分子酶学工程教育部重点实验室, 长春 130012
  • 收稿日期:2025-10-05 出版日期:2025-12-10 发布日期:2025-11-13
  • 通讯作者: 房学迅 E-mail:fangxx@jlu.edu.cn
  • 基金资助:
    吉林省科技发展计划项目(20240401055YY)

Expression and Purification of Recombinant Amuc_0119 Protein Encoded by the Gut Commensal Bacterium Akkermansia Muciniphila

REN Zhihao, ZUO Teng, ZHANG Weiyun, YU Dahai, FANG Xuexun()   

  1. Key Laboratory for Molecular Enzymology and Engineering,Ministry of Education,School of Life Sciences,Jilin University,Changchun 130012,China
  • Received:2025-10-05 Online:2025-12-10 Published:2025-11-13
  • Contact: FANG Xuexun E-mail:fangxx@jlu.edu.cn
  • Supported by:
    the Science and Technology Development Project of Jilin Province, China(20240401055YY)

摘要:

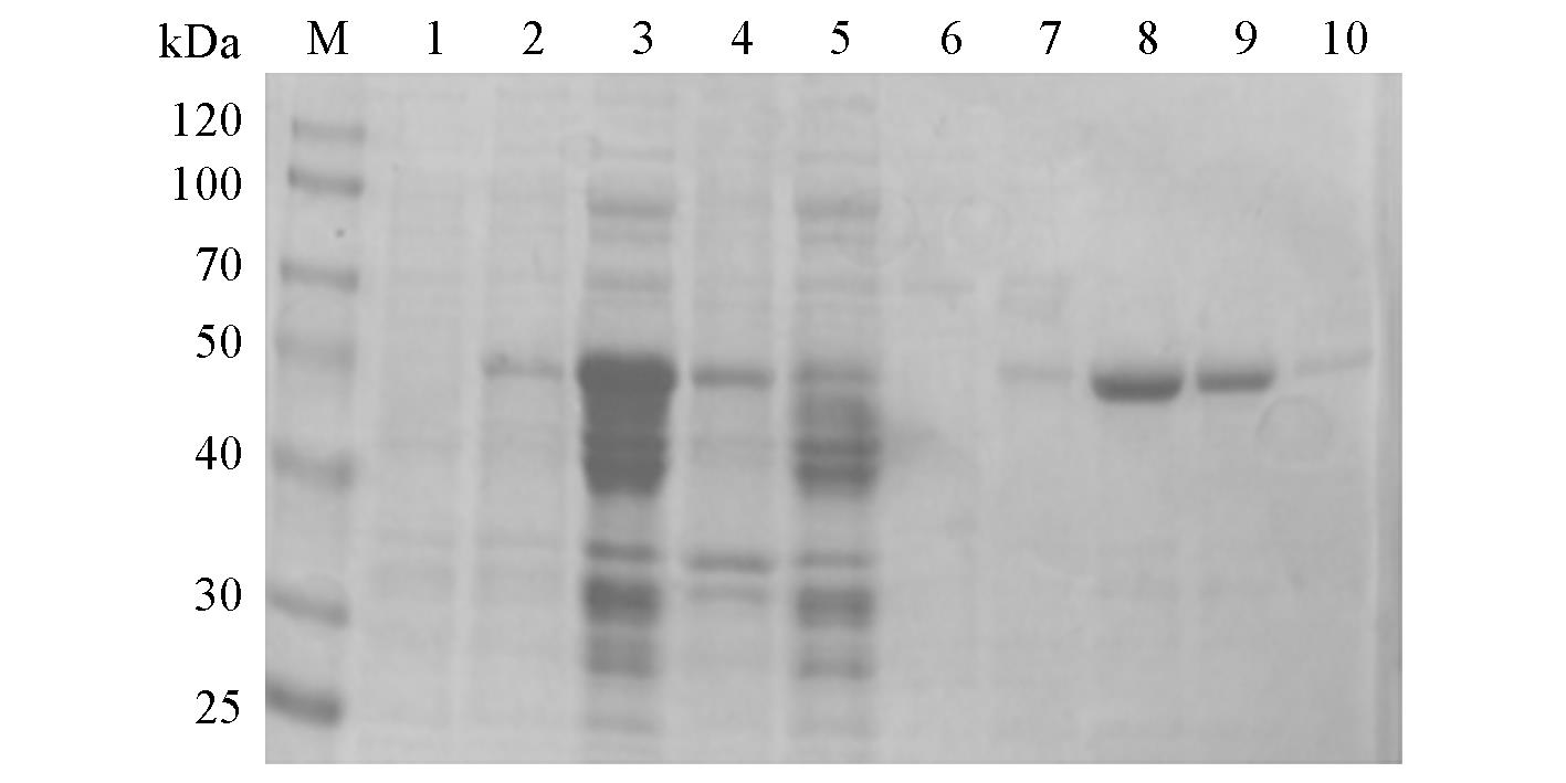
粘蛋白降解肠道共生菌Akkermansia muciniphila因具有促进健康的效用而备受关注, 其蛋白组分在宿主-微生物互作中发挥着重要作用. 其中, Amuc_0119是一类尚未表征的假定蛋白, 具有潜在生物学功能. 本文旨在构建Amuc_0119的重组表达系统, 以促进其结构和功能研究. 将Amuc_0119编码序列克隆至N端和C端均带有6×His标签的pET-28a(+)载体中, 并转化至大肠杆菌BL21(DE3). 在37 ℃下以0.5 mmol/L IPTG过夜诱导表达, 经SDS-PAGE分析获得了46 kDa重组蛋白, 并通过Ni-NTA亲和层析纯化, 其纯度达92.08%. Western blot结果确认为目标蛋白, 通过BCA定量测得最终浓度为818.44 μg/mL. 本文建立了Akkermansia muciniphila来源Amuc_0119的高效表达与纯化体系, 为后续结构及功能研究提供了必要工具.

关键词: 粘蛋白降解肠道共生菌(Akkermansia muciniphila), 益生菌, Amuc_0119, 表达, 纯化

Abstract:

The mucin-degrading gut commensal bacterium Akkermansia muciniphila has emerged as a promising probiotic due to its significant health-promoting effects, wherein its protein constituents mediate critical host-microbe crosstalk. Notably, Amuc_0119 represents an uncharacterized protein potentially with beneficial biological functions. In this study, we aimed to construct an expression system for recombinant Amuc_0119 to facilitate its structural and functional characterization. The coding sequence of Amuc_0119 was cloned into pET-28a(+) vector with an N-terminal 6×His-tag and successfully transformed into E. coli BL21(DE3) competent cells. Protein expression was induced by 0.5 mmol/L IPTG overnight at 37 °C. SDS-PAGE analysis revealed successful expression of the 46 kDa recombinant protein, which was subsequently purified via Ni-NTA affinity chromatography with a purity of 92.08%. Western blot with anti-His antibodies confirmed the target protein identity, while quantitative BCA assay determined a final concentration of 818.44 μg/mL. This study establishes the first efficient expression and purification protocol for Akkermansia muciniphila-derived Amuc_0119, providing essential tools for forthcoming structural studies and functional investigations for this bacterial protein.

Key words: Akkermansia muciniphila, Probiotic, Amuc_0119, Expression, Purification

中图分类号: 

TrendMD: